ホワイトニング

ホワイトニング前

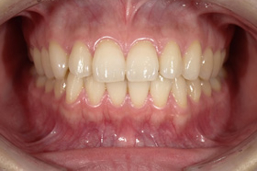
ホワイトニング後

オフィスホワイトニング

歯科医院で行う方法で、濃度の高い薬品を塗布した歯面に光を照射して白くします。

当院では、MIホワイトニングを導入しています。
MIホワイトニングとは、従来の方法と比較してホワイトニング効果が高く、白さが長持ちします。
また、痛みやしみが出ることが少ないのが特徴です。
ホワイトニング後、歯に光沢が出て、表面がつるつるになたっという感想を、多く頂きます。       

メリット


  • 即効性があり1回である程度まで白くできる
    (個人差はありますが2~4段階白くなります。)
  • 白さが6ヵ月~1年半程度持続する。
  • 専門家による処置なので安心。
  • 短時間(約1時間半)で白くできる。
  • 定期的に繰り返すことで歯の白さが維持できる。

デメリット


  • 照射器の光が届かない奥歯は白くならない。
  • 薬剤により歯がしみることがある。
  • 効果の後戻りが早い。
  • 個人差があり1度でご希望の白さにならなかった場合には2~3回繰り返し行うこともあります。

料金(税抜) 1回 10,000

ホームホワイトニング

トレーに低濃度の薬品を入れ、家庭で装着します。ふつうは就寝時に行っていただきます。

メリット


  • オフィスホワイトニングに比べて白さが持続する。
  • 白さが6カ月~3年程度持続する。
  • 自宅でテレビを観ながら、読書しながら好きなことをしてできる。
  • 後戻り後、薬液だけの購入で続けられる。

デメリット


  • 薬剤により歯がしみることがある。
  • 白くなるまでに2~4週間程度の時間がかかる。
  • 専用トレーの製作が必要。
  • ご自身で薬剤の塗布・装着・管理を行うなどの手間がかかる。
料金(税抜き) 15,000円(薬液、トレー代含む)

追加薬液のみの料金(税抜)1本 2,000~3,000円

定期的にホワイトニングを繰り返すことで、より白くなり美しさを保ちます。

医院名
みやまつ歯科クリニック
院 長
宮松 伸也
住 所
〒699-0615
島根県出雲市斐川町併川1636-16
診療時間
月・火・水・金・土
  • 9:00~13:00
  • 14:30~18:30
※最終受付は診療終了時間の1時間前となります。
【休診日】木曜・日曜・祝日

診療予約など
ご予約はこちらの番号で受け付けております。
0853-72-4185(よい歯GO)